Cazul 1 - Tratamentul ocluziei distalizate unilaterale si a inghesuririlor dentare


MijloaceTerapeutice: Aparat Ortodontic Fix Safir Bimaxilar Și Miniimplante Ortodontice.
Pacienta în vârsta de 22 de ani se prezintă in clinica noastră pentru corectarea tulburărilor fizionomice din surâs și vorbire.

DIAGNOSTIC
În urma examenului clinic și radiologic s-au constatat urmatoarele probleme:
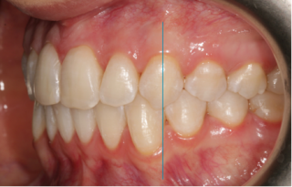
1. Ocluzie distalizată unilaterală dreaptă (decalajul mușcăturii pe partea dreaptă cu aproximativ 6 mm fața de normal). Liniile verticale trasate în poza, prezente le nivelul caninului superior drept si la nivelul punctului de contact dintre caninul inferior si premolar, trebuie sa coincida la fel ca in partea stângă.
2. Laterodevierea liniei interincisive inferioare spre dreapta cu 2,5 mm.
3. Dizarmonie dento-maxilară cu inghesuire.
OBIECTIVE
Tratamentul ortodontic are ca scop nu doar corectarea inghesuirilor dentare (care de obicei se realizeaza foarte ușor) ci in primul rând obținerea unei mușcături funcționale în echilibru cu articulația temporomandibulară.
TRATAMENT
Pentru rezolvarea problemelor identificate in urma diagnosticului s-a aplicat un aparat ortodontic fix din safir pe ambele arcade cu care s-a realiazt alinierea corectă a dinților. Pentru corecția relațiilor de ocluzie și a liniei interincisive s-au folosit două minimplante ortodontice aplicate la nivelul maxilarului și elastice intermaxilare. Decalajul de mușcatură de pe partea stangă cât si liniile interincisive au fost corectate dupa cum se observa in imaginile de la finalul tratamentului.
FINAL
Tratamentul a avut o durată de aproximativ doi ani. Dupa indepărtarea aparatului, menținerea rezultatelor obținute s-a realizat cu ajutorul a două contenții fixe colate in spatele dinților din zona frontală și o plăcuță mobilizabilă în timpul nopții.

Articole recente
Citește aici cele mai recente articole de pe blogul nostru.













